
چرا OMFS یکی از حیاتیترین تخصصهای پزشکی امروز است؟
چرا OMFSیکی از حیاتیترین تخصصهای پزشکی امروز است؟ OMFS چیست و چرا اهمیت دارد؟ این تخصص جراحی، به تشخیص و درمان بیماریها، آسیبها، و نقصهای مربوط

چرا OMFSیکی از حیاتیترین تخصصهای پزشکی امروز است؟ OMFS چیست و چرا اهمیت دارد؟ این تخصص جراحی، به تشخیص و درمان بیماریها، آسیبها، و نقصهای مربوط

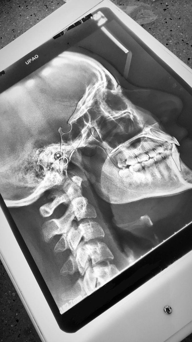
شکستگیهای فک و صورت در بیماران در این مطالعه، جنبههای مختلف اطلاعات دموگرافیک بیماران، شامل نوع و تعداد شکستگیها، شدت آسیب، علت ارجاع، دلیل وقوع حادثه،

اثرات تیزانیدین در جراحی ارتوگناتیک جراحیهای ارتوگناتیک دو فک بهطور شایع برای اصلاح اختلالات فک و صورت که شامل مشکلات عملکردی و زیبایی هستند، انجام میشوند.